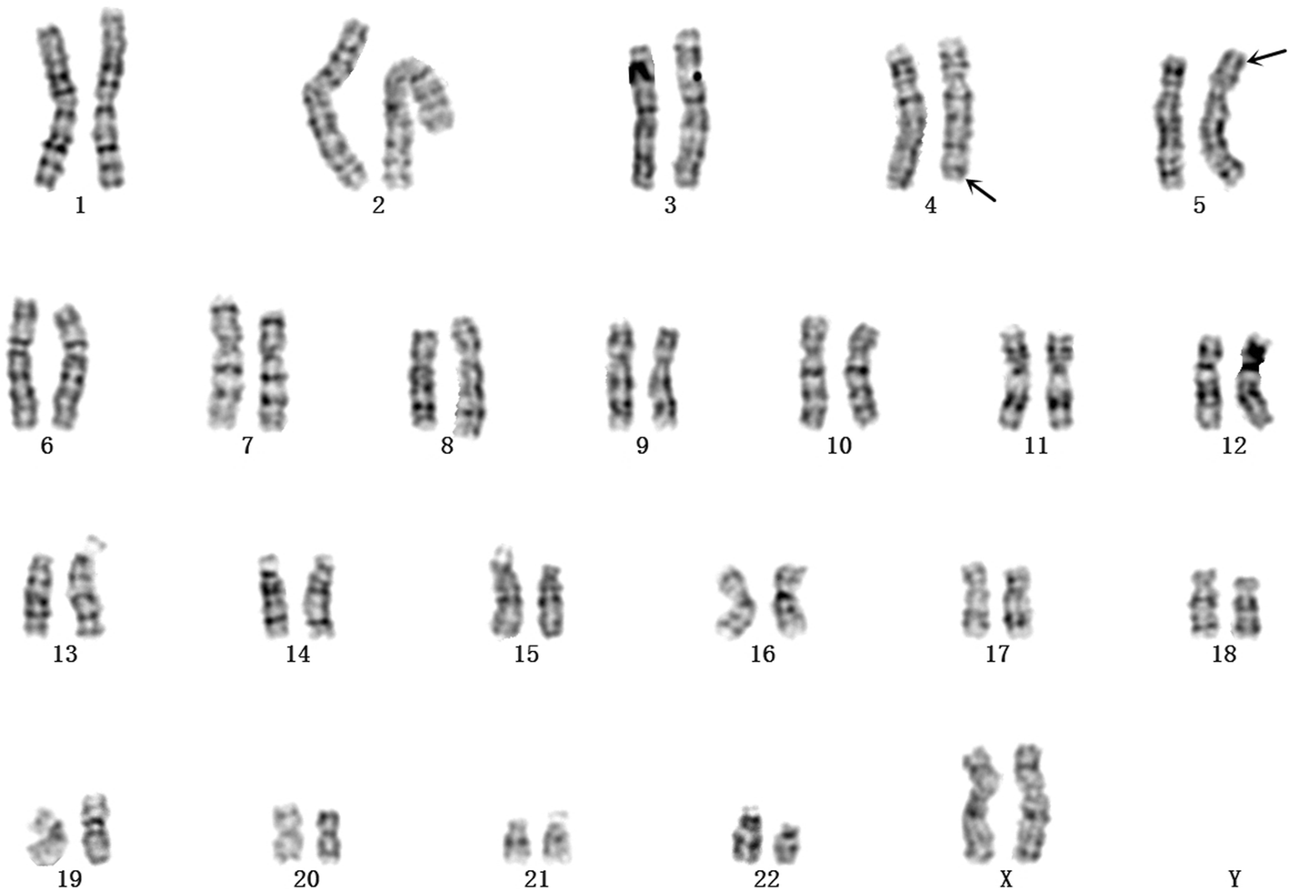
Fig. 1From: Partial trisomy 4q and monosomy 5p inherited from a maternal translocationt(4;5)(q33; p15) in three adverse pregnanciesThe karyotype of the women showed a balanced translocation between chromosomes 4 and 5:46,XX,t(4;5)(q33;p15)Back to article page